首页 护理园地 护理动态 详细

护理园地

生命桥梁的守护者——记一例高龄颈椎骨折伴四肢瘫患者的专科护理实践

发布时间:2025.09.22 来源部门:骨科(脊柱) 作者: 管明兰、杨钰洁、陈俊如

颈椎骨折伴颈脊髓损伤具有高致残、高致死的风险,不仅严重伤害患者身心健康,亦为家庭带来沉重负担。

近日,我院收治一名高龄男性患者,诊断为“颈4椎骨折、颈脊髓损伤伴完全四肢瘫”,合并肺部感染与深静脉血栓,胸骨柄平面以下感觉活动消失,生活完全依赖,且面临呼吸衰竭、压损等高危风险,护理挑战极大。

住院期间,骨科(脊柱)护理团队以系统化评估、精细化护理与个性化管理,为患者构筑安全体系,成功协助其度过感染、休克及功能重建等多重危机。

 

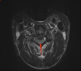
1.2  患者术前影像

【术前护理:筑牢手术基础】

颈椎骨折伴脊髓损伤需急诊手术解除压迫、重建稳定。但该患者因合并肺部感染等问题无法立即手术,护理团队积极配合医疗方案,在严密监护下先行稳定呼吸循环功能:通过动态神经功能评估与肌力监测精准判断损伤平面及进展,患者每一次改变体位都需要3-5人协同进行,严防二次损伤;同时强化气道管理与抗感染治疗,为手术创造有利条件。团队还特别注重与患者及家属的治疗性沟通与情绪支持,共同构建围术期协作照护体系。

 

3  为患者调整颈托

 

【术后护理:精准管理,护航康复】

术后患者脊髓压迫解除,脊柱稳定性建立,在此基础上,专科化术后护理对巩固疗效、促进神经恢复、防范并发症同样至关重要。

 

 

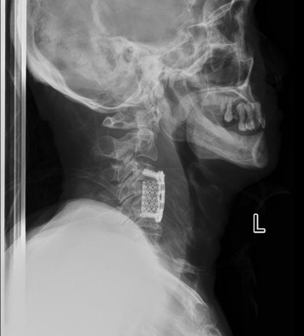
4.5  患者术后影像

 

呼吸道管理:团队、技术与关怀的结合

呼吸道管理是重中之重。颈髓损伤后因呼吸中枢传导受阻及呼吸肌功能障碍,患者咳痰无力,气道分泌物易潴留,引发肺不张和感染。团队在保证脊柱稳定前提下实施精准叩背和分段振动排痰,密切监测呼吸频率、深度及血氧饱和度变化,及时调整气道湿化和吸痰策略。鼓励患者进行腹式呼吸及咳痰训练,术后第一天即逐步抬高床头,促进分泌物引流,有效降低肺部感染风险。

 

6  振动排痰

 

【护患携手,重燃希望】

患者术后双上肢肌力0级,双下肢肌力2级,生活完全依赖。护理团队制定系统康复计划:在保证脊柱稳定前提下,每日分时段、分关节进行精细化被动训练,预防肌肉萎缩和关节挛缩;开展床上平移、体位适应等早期功能锻炼,结合神经电刺激促进神经肌肉功能重塑;指导家属掌握正确的翻身、按摩及日常照护技巧,提升家庭护理能力。在团队和家属共同努力下,患者逐步克服感染与卧床困难,肌力持续恢复。每一进步都凝聚护理的专业与坚守,也离不开家属的信任参与。

 

 

7 被动训练

8  早期功能锻炼

 

 

骨科(脊柱)护理团队以专业守护生命,用细致见证蜕变,与患者和家属携手,共同搭建起一座从绝望到希望的生命之桥。

扫一扫,手机端浏览